Veneers
Veneers
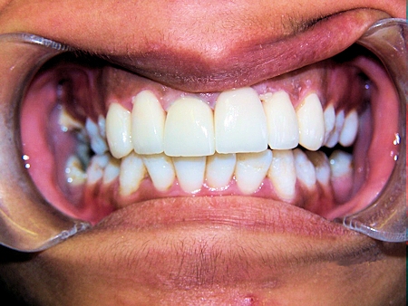
A veneer is a thin layer of porcelain made to fit over the front surface of a tooth. Veneers can be used to improve the colour, shape and overall cosmetic look of your teeth. Large gaps between your teeth can also be closed with veneers if you do not want to undergo long-term orthodontic treatment.
Veneers can make a chipped tooth look intact again. A precise shade of porcelain can be chosen to give the right colour of a single tooth or to lighten the shade of anterior teeth. The natural and healthy look it can make to someone's smile is outstanding. There are different types of material used to make veneers.
Here at Sky we have three options E-max, composite or porcelain. The porcelain we use here is Shofu.
How are Veneers fitted?
The dentist will remove some of the outer enamel surface to make sure the veneer can be bonded permanently in place. The amount of enamel removed is tiny and will be the same thickness of the veneer to be fitted. Once the tooth/teeth have been prepared, the dentist will take an impression. This will then be sent to us. From here we will then fabricate the veneers.





